
Medizinische Ansicht des Milchzahngebisses
Das Milchzahngebiss
Das Milchzahngebiss hat verschiedene Funktionen und einen anderen Aufbau als das bleibende Gebiss.

Vergleich zwischen Milchgebiss und bleibendem Gebiss
Häufige Fragen zu Milchzähnen
Find answers to the most common questions about our services
01Wie viele Milchzähne haben wir?
Click to reveal answer
Wie viele Milchzähne haben wir?
Ein Kind hat insgesamt 20 Milchzähne, darunter Schneidezähne, Eckzähne und Backenzähne. Im Erwachsenenalter besteht das Gebiss hingegen aus 32 Zähnen. Sogenannte Mahl- und Weisheitszähne entwickeln sich erst im bleibenden Gebiss und kommen später dazu.
02In welchem Alter sind alle Milchzähne da?
Click to reveal answer
In welchem Alter sind alle Milchzähne da?
Milchzähne erscheinen normalerweise im Alter von 6 Monaten bis 3 Jahren. Bis zum Alter von etwa 3 Jahren sollten alle 20 Milchzähne vollständig durchgebrochen sein.
Milchzähne und Kreidezähne bei Kindern
Wichtige Informationen zur Entwicklung und Pflege von Milchzähnen sowie zur Behandlung von Kreidezähnen

Vergleich zwischen Milchgebiss und bleibendem Gebiss
In welchem Alter sind alle Milchzähne da?
Milchzähne erscheinen normalerweise im Alter von 6 Monaten bis 3 Jahren. Bis zum Alter von etwa 3 Jahren sollten alle 20 Milchzähne vollständig durchgebrochen sein.
Wieso ist die korrekte Pflege der Milchzähne so wichtig?
Milchzähne sind entscheidend für die Mundgesundheit von Kindern. Sie verhindern Fehlstellungen und sorgen dafür, dass die bleibenden Zähne richtig ausgerichtet sind. Die 3 wichtigsten Faktoren für intakte und gesunde Milchzähne sind:
- Fehlstellungen vorbeugen
- Karies vorbeugen
- Sprachliche Entwicklung fördern

Abgebrochener Milchzahn bei einem Kind
Teens Aligner
Egal ob als Teenager oder im Erwachsenenalter, bestsmile Aligner sind eine einfache und kieferorthopädisch bewährte Methode zur Zahnkorrektur. bestsmile Teens Aligner ab 11 Jahren – Zahnspange für Kinder und Jugendliche.

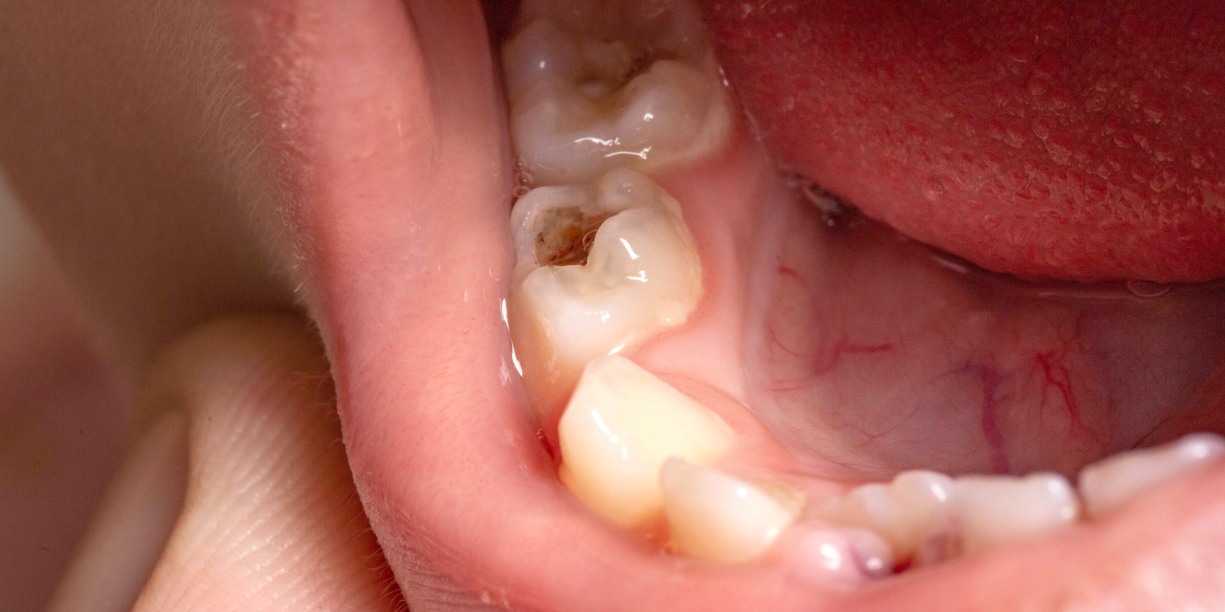
Milchzähne mit Karies
Karies an einem Milchzahn kann sich auf die noch nicht durchgebrochenen, bleibenden Zähne übertragen.
Karies an den Milchzähnen zu flicken, ist deswegen auch für die Gesundheit der bleibenden Zähne besonders wichtig. Um Karies an Milchzähnen zu vermeiden, gibt es einige präventive Massnahmen:
- Regelmässiges Zähneputzen
- Fluoridhaltige Zahnpasta
- Gesunde, ausgewogene Ernährung
- Wenig Zucker
- Regelmässige Zahnarztbesuche
Sprachliche Entwicklung
Fehlstellungen im Milchgebiss können die Ursache für Sprachstörungen sowohl im Kindesalter als auch später als Erwachsene sein. Eine rechtzeitige Behandlung von Milchzahnproblemen kann daher die sprachliche Entwicklung positiv beeinflussen.
Ausfall von Milchzähnen: der Zahnwechsel
Der Zahnwechsel ist ein natürlicher Prozess, bei dem die Milchzähne ausfallen und durch bleibende Zähne ersetzt werden. Es kann sein, dass während des Zahnwechsels zu den bleibenden Zähnen Probleme auftreten können. Die häufigsten sind Verzögerungen oder ein unregelmässiger Zahnverlust. Es ist wichtig, auch in der Zeit, in der die Milchzähne ausfallen, regelmässige Besuche in der Praxis einzuplanen, damit mögliche Herausforderungen frühzeitig erkannt und gelöst werden können. Ein reibungsloser Zahnwechsel ist wichtig für die korrekte Ausrichtung der bleibenden Zähne und die langfristige Mundgesundheit auch als Erwachsene.
Häufige Fragen zum Zahnwechsel
Find answers to the most common questions about our services
01Welche Zähne fallen bei Kindern aus?
Click to reveal answer
Welche Zähne fallen bei Kindern aus?
Alle Zähne im Milchgebiss werden durch diejenigen des bleibenden Gebisses ersetzt. Während des Zahnwechsels fallen meist zuerst die unteren Schneidezähne aus, gefolgt von den oberen Schneidezähnen, Eckzähnen und zum Schluss den Backenzähnen.
02Bis wann sind die Milchzähne raus?
Click to reveal answer
Bis wann sind die Milchzähne raus?
In der Regel findet der Ausfall der Milchzähne zwischen dem 6. und 13. Lebensjahr statt.

Abgebrochene Milchzähne
Kreidezähne sind eine Entwicklungsstörung an den Milchzähnen, die circa 15% aller Kinder betrifft. Sie führt dazu, dass die Zähne brüchig und empfindlich sind. Kreidezähne werden in verschiedene Schweregrade eingeteilt.
Ursachen für Kreidezähne im Milchzahngebiss
Die genauen Ursachen von Kreidezähnen sind noch nicht vollständig verstanden, aber genetische Faktoren und Umwelteinflüsse können eine Rolle spielen. Gründe können sein:
- Ernährung und Mangel an wichtigen Mineralien wie Calcium und Fluorid
- Exposition gegenüber bestimmten Chemikalien während der Schwangerschaft oder im frühen Kindesalter
- Gebrauch bestimmter Medikamente während der Schwangerschaft oder in der Kindheit
- Ungleichgewichte im Hormonsystem während der Schwangerschaft oder im frühen Kindesalter
- Infektionen oder Krankheiten während der Kindheit
Behandlung und Prävention von Kreidezähnen
Die Behandlung von Kreidezähnen kann eine spezielle Zahnpflege und in einigen Fällen zahnärztliche Eingriffe umfassen. Regelmässige Vorsorgeuntersuchungen sind wichtig, um Kreidezähne frühzeitig zu erkennen und zu behandeln.
Welche Behandlungen bietet bestsmile für Kinder an?
Bei bestsmile können Jugendliche bereits ab 11 Jahren eine Behandlung mit Teens Aligner machen. Beim 3D-Scan-Termin werdet ihr von spezialisierten Kieferorthopädinnen und Kieferorthopäden persönlich beraten.
Milchzähne bei Kindern
Informationen zu abgebrochenen Milchzähnen, Kreidezähnen und deren Behandlung bei Kindern
Bei einigen Kindern sind abgebrochene Milchzähne vorhanden. Die Ursachen dafür können ganz verschieden sein;
- Unfälle
- Karies
- Falsche Zahnpflege
Eine zahnärztliche Behandlung ist dann oft notwendig, um abgebrochene Milchzähne zu reparieren und sicherzustellen, dass nichts auf die bleibenden Zähne übertragen wird. Eine normale Entwicklung des bleibenden Gebisses wird dadurch unterstützt und gewährleistet. Die Behandlungsmethode hängt von der Ausgangslage ab. Bei kleineren Beschädigungen am Zahn reichen Füllungen aus, für grössere Schäden sind auch Kronen im Milchgebiss möglich.

Kreidezähne bei Milchzähnen
Kreidezähne sind eine Entwicklungsstörung an den Milchzähnen, die circa 15% aller Kinder betrifft. Sie führt dazu, dass die Zähne brüchig und empfindlich sind. Kreidezähne werden in verschiedene Schweregrade eingeteilt.
Häufige Fragen zu Kreidezähnen
Find answers to the most common questions about our services
01Ursachen für Kreidezähne im Milchzahngebiss
Click to reveal answer
Ursachen für Kreidezähne im Milchzahngebiss
Die genauen Ursachen von Kreidezähnen sind noch nicht vollständig verstanden, aber genetische Faktoren und Umwelteinflüsse können eine Rolle spielen. Gründe können sein:
- Ernährung und Mangel an wichtigen Mineralien wie Calcium und Fluorid
- Exposition gegenüber bestimmten Chemikalien während der Schwangerschaft oder im frühen Kindesalter
- Gebrauch bestimmter Medikamente während der Schwangerschaft oder in der Kindheit
- Ungleichgewichte im Hormonsystem während der Schwangerschaft oder im frühen Kindesalter
- Infektionen oder Krankheiten während der Kindheit
02Behandlung und Prävention von Kreidezähnen
Click to reveal answer
Behandlung und Prävention von Kreidezähnen
Die Behandlung von Kreidezähnen kann eine spezielle Zahnpflege und in einigen Fällen zahnärztliche Eingriffe umfassen. Regelmässige Vorsorgeuntersuchungen sind wichtig, um Kreidezähne frühzeitig zu erkennen und zu behandeln.
03Welche Behandlungen wir für Kinder an?
Click to reveal answer
Welche Behandlungen wir für Kinder an?
Jugendliche ab 11 Jahren können eine Behandlung mit Teens Aligner machen. Beim 3D-Scan-Termin werdet ihr von spezialisierten Kieferorthopädinnen und Kieferorthopäden persönlich beraten.
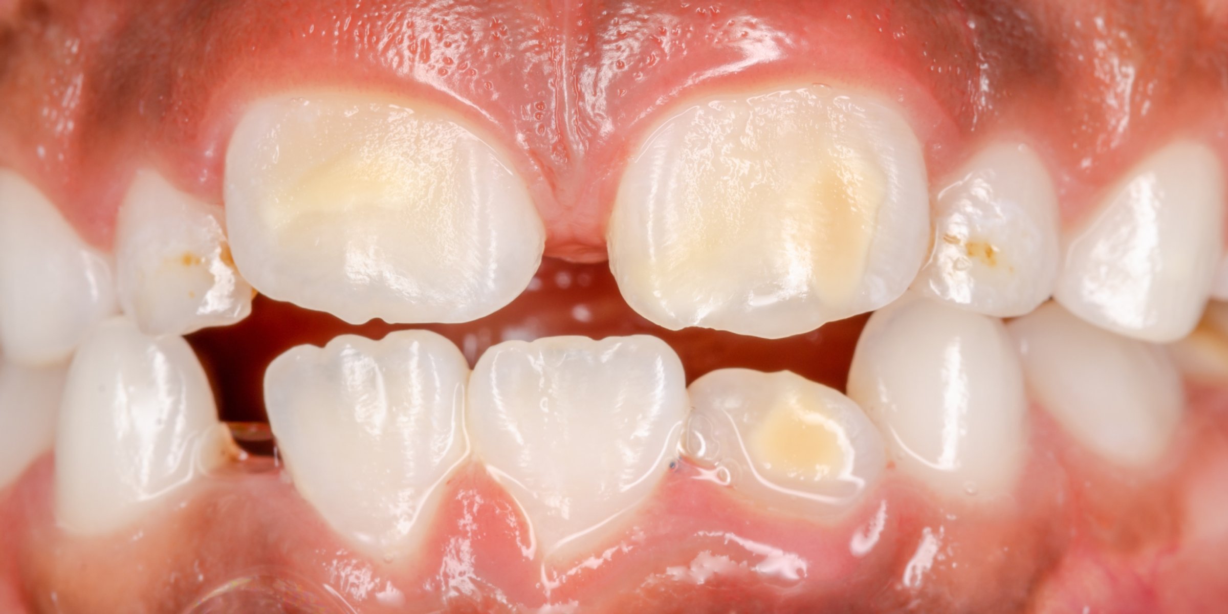
Kreidezähne bei Kindern
Eine Entwicklungsstörung der Milchzähne, die etwa 15% aller Kinder betrifft und zu brüchigen und empfindlichen Zähnen führt.
Kreidezähne sind eine Entwicklungsstörung an den Milchzähnen, die circa 15% aller Kinder betrifft. Sie führt dazu, dass die Zähne brüchig und empfindlich sind. Kreidezähne werden in verschiedene Schweregrade eingeteilt.









