Ein Retainer ist eine spezielle Vorrichtung, die entwickelt wurde, um die Position der Zähne nach einer kieferorthopädischen Behandlung zu stabilisieren. Nachdem die Zähne durch Zahnspangen oder Aligner in die gewünschte Position gebracht worden sind, spielen Retainer eine entscheidende Rolle dabei, sicherzustellen, dass sie sich nicht wieder in ihre ursprüngliche Position zurückbewegen. Retainer sind also von zentraler Bedeutung, um die langfristigen Erfolge einer Zahnkorrektur zu bewahren.
Was ist ein Retainer?
Erfahren Sie alles über die verschiedenen Arten von Retainern zur Stabilisierung der Zahnposition nach einer kieferorthopädischen Behandlung.
Ein Retainer ist eine spezielle Vorrichtung, die entwickelt wurde, um die Position der Zähne nach einer kieferorthopädischen Behandlung zu stabilisieren. Nachdem die Zähne durch Zahnspangen oder Aligner in die gewünschte Position gebracht worden sind, spielen Retainer eine entscheidende Rolle dabei, sicherzustellen, dass sie sich nicht wieder in ihre ursprüngliche Position zurückbewegen.
Häufige Fragen zu Retainern
Find answers to the most common questions about our services
01Was bedeutet Rezidiv genau?
Click to reveal answer
Was bedeutet Rezidiv genau?
Rezidiv leitet sich vom lateinischen "recidere" ab, was für Zurückfallen steht. Rezidiv ist das Zurückkehren einer Krankheit. In bestimmten Fällen kann auch nach kieferorthopädischen Behandlungen ein Rezidiv auftreten. Der Einsatz von Retainern soll Zahnkorrekturen dauerhaft festigen und das Rezidiv vermeiden.
02Wie viel kostet der Draht-Retainer?
Click to reveal answer
Wie viel kostet der Draht-Retainer?
Die Kosten für den Retainer liegen bei CHF 500.– pro Kiefer.

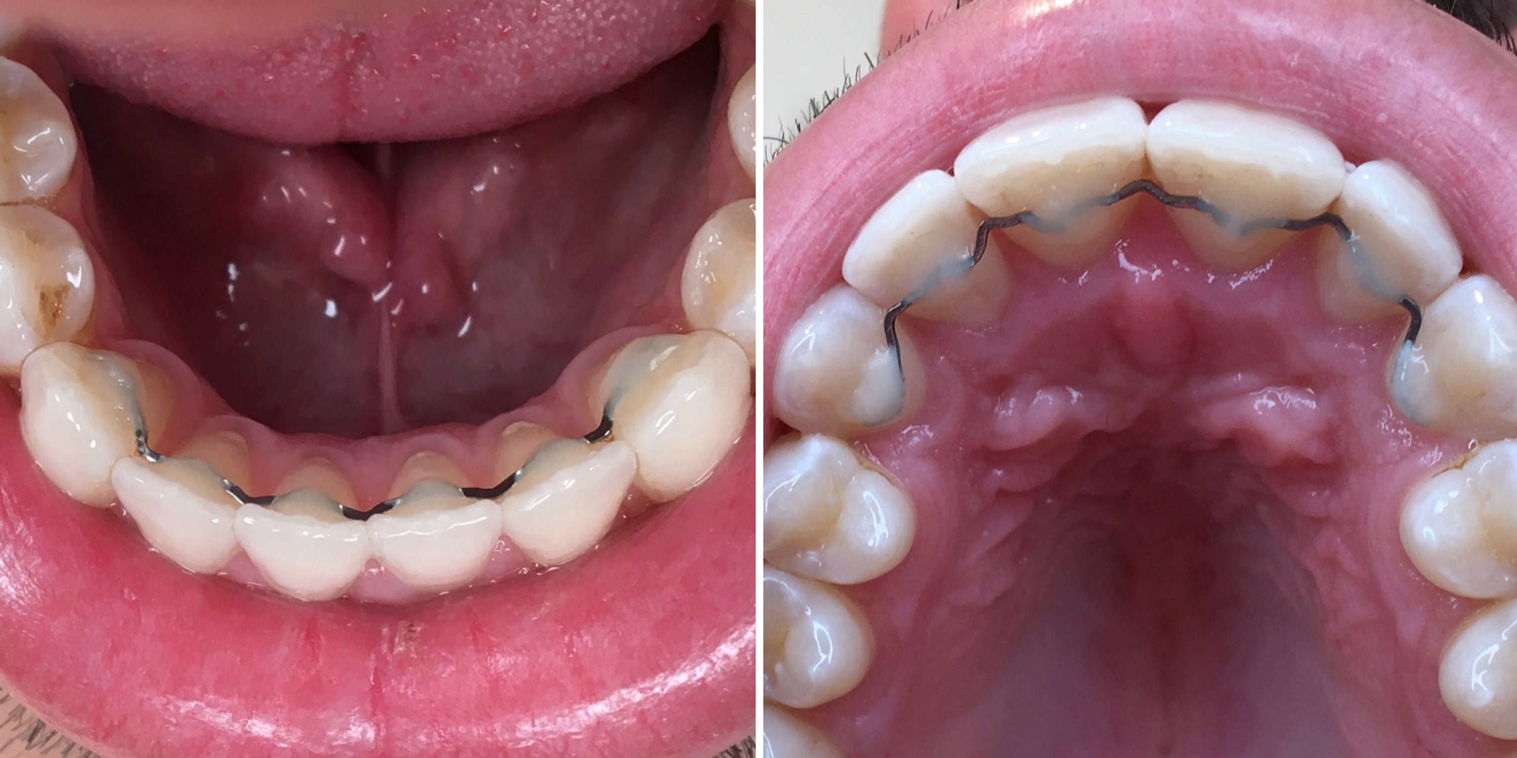
Draht-Retainer für Zahnstabilisierung
Retainer oder Nachtspange?
Beide Varianten der Stabilisation der Zähne haben ihre Vor- und Nachteile. Den Kunststoffretainer trägst du nur nachts und kannst ihn selbst herausnehmen sowie wieder einsetzen. Der Drahtretainer ist fest mit deinen Zähnen verbunden und kann nicht selbst entfernt werden. Somit kannst du ihn jedoch auch nicht vergessen und die Erhaltung deiner schönen Zahnstellung ist jederzeit sichergestellt.
In Sachen Komfort gibt es keine grossen Unterschiede zwischen den beiden Retainerarten. Der Draht ist möglicherweise zu Beginn gewöhnungsbedürftig. Deine Zunge gewöhnt sich allerdings schnell daran und du spürst den Retainerdraht bald nicht mehr.
Beim Essen und Trinken stört ebenfalls keines der beiden Retentionsgeräte. Die Nachtschiene trägst du beim Essen nicht und der Draht ist hinter den Zähnen angebracht und somit ebenfalls kein Störfaktor bei deinen Mahlzeiten. Du solltest jedoch auf eine gute und regelmässige Mundhygiene achten, damit sich um den Retainer keine Beläge bilden.
Nun hast du die Wahl, welcher Retainer besser zu dir passt. Wir empfehlen dir den Drahtretainer, weil dieser immer fest an deinen Zähnen sitzt, du ihn nie vergessen kannst einzusetzen und er dich auch sonst bei keinen Aktivitäten beeinträchtigt.









